What is a crossbite?
A crossbite is a type of malocclusion in which the upper teeth fit inside of the lower teeth, with the lower teeth covering the upper ones. The upper front and back teeth are either positioned too far inward, or the lower teeth are positioned too far outward. This prevents the teeth from closing correctly. A crossbite is one of the most common malocclusions in children and adolescents.
:quality(75))
Types of crossbite
Unilateral crossbite
The teeth are only misaligned on one side. The bite on the other side is correct.
Bilateral crossbite
Both sides of the teeth – left and right – are affected and do not clench correctly. Usually this is caused by the upper jaw being too narrow in relation to the lower jaw.
Why correct a crossbite?
If a crossbite is left untreated, the patient can experience aesthetic and medical problems.
Health
How Aligners correct crossbite
In many cases, a crossbite can be corrected with removable braces. How it works:
:quality(75))
:quality(75))
:quality(75))
Every 2 weeks you switch to a new Aligner tray.
Each Aligner tray pushes the teeth slightly more in the desired direction.
our crossbite will be corrected in 3 to 12 months.
How Aligners correct crossbite
In many cases, a crossbite can be corrected with removable braces. How it works:
:quality(75))
Every 2 weeks you switch to a new Aligner tray.
:quality(75))
Each Aligner tray pushes the teeth slightly more in the desired direction.
:quality(75))
our crossbite will be corrected in 3 to 12 months.
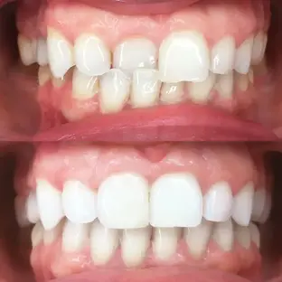
Crossbite before-after
:quality(75))
Crossbite FAQs
Why choose bestsmile?
Dental expertise
Our specialist medical staff will be with you and advise you free of charge during every step of the way over the course of your treatment.
swiss made
All bestsmile products are custom-made in our own production facility in Switzerland.
Personalised treatment plan
Your treatment will be customised exactly to your needs.
:quality(75))
:quality(75))
:quality(75))
:quality(75))
:quality(75))