What are crowded teeth?
If there is too little space in the jaw for the teeth or if they are too big or too wide in relation to the jaw, they can overlap. There are many causes of overcrowded teeth. Contrary to what many people think, it's not the wisdom teeth that are usually responsible for crowding. Growth-related and genetic factors play a considerable role.
:quality(75))
Causes of dental crowding
- Teeth too big or wide compared to the size of the jaw
- Narrow jaws
- Premature loss of baby teeth, with adult teeth growing into the gaps
- Imbalance between the tongue, cheek and lip muscles
Why correct crowded teeth?
It's often difficult or impossible to practice good oral hygiene if the teeth are overlapping. It's also not aesthetically ideal to have crowded teeth, leading many people to feel self-conscious about laughing or smiling.
Health
How Aligners correct crowded teeth
In most cases, crowded teeth can be corrected with removable braces. How it works:
:quality(75))
:quality(75))
:quality(75))
Every 2 weeks you switch to a new Aligner tray.
Each Aligner tray pushes the teeth slightly more in the desired direction.
Your crowding issues will be slowly and gently corrected over a period of 3 to 12 months.
How Aligners correct crowded teeth
In most cases, crowded teeth can be corrected with removable braces. How it works:
:quality(75))
Every 2 weeks you switch to a new Aligner tray.
:quality(75))
Each Aligner tray pushes the teeth slightly more in the desired direction.
:quality(75))
Your crowding issues will be slowly and gently corrected over a period of 3 to 12 months.
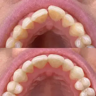
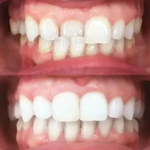
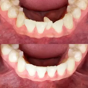
Crowded teeth – before and after
Crowded teeth FAQs
Why choose bestsmile?
Dental expertise
Our specialist medical staff will be with you and advise you free of charge during every step of the way over the course of your treatment.
swiss made
All bestsmile products are custom-made in our own production facility in Switzerland.
Personalised treatment plan
Your treatment will be customised exactly to your needs.
:quality(75))
:quality(75))
:quality(75))
:quality(75))
:quality(75))
:quality(75))
:quality(75))
:quality(75))
:quality(75))