What is a tooth gap?
Gaps between teeth – known in medicine as a diastema – bother many people. Having a tooth gap means that there is empty space in your bite, often in the upper jaw, and can be caused by various factors.
Tooth gaps, also known as diastema
A diastema is often caused by a labial frenulum that is set too low, which prevents the incisors from fully coming together.
It is often recommended to split the frenulum either surgically or with a laser. This is a routine procedure that only takes a few minutes. It is not painful and heals quickly. If the gap is caused by a misalignment between the width of the teeth and the jaws or by missing teeth, it is usually not necessary to remove the frenulum.
A gap between the two front teeth, usually in the upper jaw, is relatively common in children and adolescents and is known as a diastema mediale.
:quality(75))
Causes of tooth gaps
- Low-hanging frenulum
- Teeth that are too small for the size of the jaw
- Different sized teeth
- Jaw is too wide compared to the width of the teeth
- Malocclusion
- Missing teeth, e.g., tooth loss or missing teeth
Why close tooth gaps?
Many people find that having a gap between your front teeth isn't very beautiful. If a tooth gap is attributable to missing teeth, or if the gap is particularly large, various health problems may occur.
Health
How Aligners fix tooth gaps
In most cases, tooth gaps can be corrected with removable braces. How it works:
:quality(75))
:quality(75))
:quality(75))
Every 2 weeks you switch to a new Aligner tray.
Each Aligner tray pushes the teeth slightly more in the desired direction.
Your gap will be closed in 3 to 12 months.
How Aligners fix tooth gaps
In most cases, tooth gaps can be corrected with removable braces. How it works:
:quality(75))
Every 2 weeks you switch to a new Aligner tray.
:quality(75))
Each Aligner tray pushes the teeth slightly more in the desired direction.
:quality(75))
Your gap will be closed in 3 to 12 months.
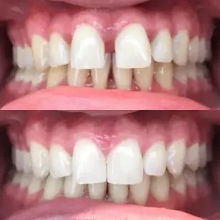
Tooth gaps – before and after
How Veneers correct tooth gaps
A gap between the front teeth can also be corrected with thin ceramic shells known as Veneers. How it works:
:quality(75))
:quality(75))
:quality(75))
We use a 3D scan to create a preview of your new smile (Smile Design)
You choose the shape and colour yourself, and our specialised dentists will advise you so that your Veneers are a perfect fit. Your temporary Veneers allow you to preview your new smile ahead of time.
The final Veneers will be produced exactly to your wishes
How Veneers correct tooth gaps
A gap between the front teeth can also be corrected with thin ceramic shells known as Veneers. How it works:
:quality(75))
We use a 3D scan to create a preview of your new smile (Smile Design)
:quality(75))
You choose the shape and colour yourself, and our specialised dentists will advise you so that your Veneers are a perfect fit. Your temporary Veneers allow you to preview your new smile ahead of time.
:quality(75))
The final Veneers will be produced exactly to your wishes
Tooth gaps FAQs
Why choose bestsmile?
Dental expertise
Our specialist medical staff will be with you and advise you free of charge during every step of the way over the course of your treatment.
swiss made
All bestsmile products are custom-made in our own production facility in Switzerland.
Personalised treatment plan
Your treatment will be customised exactly to your needs.
:quality(75))
:quality(75))
:quality(75))
:quality(75))
:quality(75))
:quality(75))
:quality(75))
:quality(75))
:quality(75))
:quality(75))