Zähne bleichen – Bleaching für ein strahlendes Lächeln
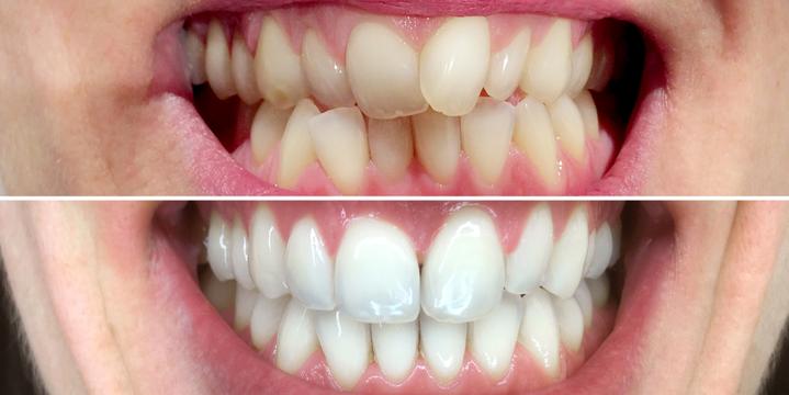
Ein professionelles Zahnbleaching kann deine Zähne um mehrere Nuancen aufhellen. Was es auf dem Weg zu weissen Zähnen alles zu beachten gibt und was für Alternativen es gibt, findest du hier.
:quality(75))
Was ist ein Zahnbleaching?
Unter einem Zahnbleaching versteht man verschiedene Methoden, um ungewollte Farbpigmente auf den Zähnen zu beseitigen. In der Regel bezeichnet ein Bleaching einen chemischen Prozess, bei dem (meist) Wasserstoffperoxid in den Zahnschmelz eindringt, dort Sauerstoff-Radikale abspaltet und so verfärbte Moleküle neutralisiert.
Gut zu wissen
Das Wort “bleaching” kommt aus dem Englischen und bedeutet auf deutsch “bleichen”.
:quality(75))
Damit man mit seiner Zahnaufhellung das gewünschte Resultat erzielt und dem Zahn nicht schadet, empfiehlt sich ein professionelles Bleaching. Zu den gängigsten Bleachingbehandlungen zählt in der Zahnmedizin das Home- und das Powerbleaching, auch In-Office Bleaching genannt.
Gründe, um die Zähne zu bleichen
Zähne sind fast nie von Natur aus vollkommen weiss. Der natürliche Alterungsprozess oder auch äusserliche Einflüsse, wie zum Beispiel das Konsumieren gewisser Getränke und/oder Lebensmittel wie Kaffee, lassen die Zähne mit der Zeit dunkler werden und Verfärbungen werden sichtbar. Ein Zahnbleaching kann die störenden Farbpigmente entfernen und die Zähne um einige Nuancen heller machen.
Diese Vorteile bringt Zähne bleichen:
- Selbstbewussteres Auftreten
- Jüngeres Aussehen
- Ergebnis in kurzer Zeit
- Letzter Schliff für neues Lächeln
Für viele sind weisse Zähne gleichgesetzt mit schönen Zähnen. Studien belegen gar, dass weisse Zähne ausschlaggebend für Sympathien sind. Es ist also naheliegend, dass sich viele ein strahlendes Lächeln mit weissen Zähnen wünschen.
Beim Entfernen von Zahnverfärbungen gibt es aber einiges zu beachten. Wir erklären dir, wieso es zu Verfärbungen kommen kann, wie Zahnbleaching funktioniert, welche die gängigsten Behandlungen für weisse Zähne sind, wer darauf verzichten sollte und wie auch du deine Zähne mit bestsmile aufhellen kannst.
Beste Methoden für das Zähne-Bleichen?
Um die Zähne zu bleichen, gibt es heute viele verschiedene Methoden. Die häufigsten und beliebtesten sind neben einem professionellen Bleaching auch einfache Hausmittel. Wie sich die verschiedenen Methoden unterscheiden und worauf du achten solltest, erfährst du hier.
Professionelles Bleaching
Home bleaching
Whitening Zahnpasta
Home Bleaching: Kosten, Vor- und Nachteile
Anders als bei vielen Zahnbleaching-Behandlungen, die man im Laden erhält, wird bei diesem Home-Bleaching auf ein professionelles Bleaching-Gel zurückgegriffen. Damit die Zahnaufhellung zu Hause durchgeführt werden kann, ist eine passgenaue Kunststoffschiene notwendig.
Die Schiene wird einfach mit einem Bleaching-Gel befüllt und eingesetzt. Je nach Stärke des Bleichmittels trägt man die Zahnschiene zwischen einer und acht Stunden. Das Home-Bleaching eignet sich für die Aufhellung des gesamten Zahnbogens.
Home-Bleaching Kosten
Bei Home-Bleachings gibt es verschiedene Schienen-Arten, die sich auch im Preis unterscheiden. Einfache Schienen gibt es bereits ab CHF 50.–, diese sind jedoch meist nicht passgenau. Massgefertigte Schienen vom Zahnarzt, um die Zähne aufzuhellen, gibt es ab circa CHF 400.–.
Home-Bleaching Vorteile
- Schonend
- Flexibel anwendbar
Home-Bleaching Nachteile
- Muss öfters wiederholt werden
Wie lange hält Home Bleaching?
Je nach Stärke des verwendeten Bleaching-Gels, Lebensgewohnheiten und der Zahnhygiene hält ein Home Bleaching zwischen 3 bis 24 Monate.
Professionelles, Power Bleaching: Kosten, Vor- und Nachteile
Unter einem professionellen Bleaching versteht man ein Power-Bleaching oder eine In-Office-Bleaching Behandlung. Diese Form der Zahnaufhellung wird direkt in der Zahnarztpraxis durchgeführt.
Dabei werden die Zähne mit Bleichmittel bestrichen, welches 15-45 Minuten einwirkt. Das Zahnfleisch wird mit einem gummiartigen Überzug vor dem starken Aufhellungsmittel geschützt. Im Gegensatz zum Home-Bleaching kann das Power-Bleaching auf einzelne Zähne angewendet werden und verwendet in der Regel ein stärkeres Bleichmittel, was auch das Ergebnis stärker macht.
Kosten Power Bleaching
Ein professionelles Bleaching ist ab circa CHF 300.– erhältlich.
Power Bleaching Vorteile
- Langanhaltende Ergebnisse
- Deutliche Effekte bereits nach erster Sitzung
Power Bleaching Nachteile
- Kurzzeitige Überempfindlichkeit der Zähne
- Höhere Kosten
Wie länge hält ein Power Bleaching
In der Regel halten die Ergebnisse eines professionellen Bleachings über ein Jahr an.
Whitening Zahnpasta: Kosten, Vor- und Nachteile
Inzwischen gibt es einige Zahnpasten, die einen Whitening-Effekt versprechen. Bei einer Aufhellung mit Zahnpasten kann man jedoch nicht von einem eigentlichen Bleaching sprechen. Bei dieser Art der Zahnaufhellung dringt kein chemischer Wirkstoff in den Zahn ein. Verfärbungen, die durch Ablagerungen entstehen, werden lediglich von der Zahnoberfläche entfernt. Auch die aufhellende Wirkung von solchen Bleaching-Produkten ist oft nur temporär und fällt im Gegensatz zum professionellen Zahnbleaching relativ schwach aus.
Risiken der Whitening Zahnpasta
Mit einer Whitening Zahnpasta können nur oberflächliche Verfärbungen entfernt werden. Dabei ist jedoch Vorsicht geboten, denn auch der Zahnschmelz kann dadurch angegriffen werden. Es entstehen winzig kleine Risse an der Oberfläche, in denen sich Farbpigmente einfacher ablagern können. Langfristig können solche Produkte den Zahn also eher verfärben anstatt ihn zu bleichen.
Whitening Zahnpasta Kosten
Eine aufhellende Zahnpasta ist bereits ab CHF 5.– in herkömmlichen Supermärkten erhältlich.
Whitening Zahnpasta Vorteile
- Einfach anzuwenden
- Kostengünstig
- Auch für empfindlichere Zähne geeignet
Whitening Zahnpasta Nachteile
- geringe Ergebnisse
- Können nur Verfärbungen durch Ablagerungen entfernen
- Können die Zahnoberfläche angreifen
Wie lange hält das Ergebnis mit Whitening Zahnpasta?
Der aufhellende Effekt nach Verwendung einer Whitening Zahnpasta ist sehr gering und nur temporär. Je nach Häufigkeit und Intensität von Kaffee-, Rotwein- oder Zigaretten-Konsum bilden sich schnell wieder Ablagerungen.
Das Ergebnis von Zahnbleaching kann sehr unterschiedlich ausfallen. Die natürliche Zahnfarbe, Lebensgewohnheiten und auch, wie stark das Bleaching anschlägt, haben alle Einfluss auf das Endergebnis.
Wer kann seine Zähne bleichen?
Beim Zahn-Bleaching gibt es einige Dinge zu beachten, denn nicht für alle ist eine Zahnaufhellung geeignet. Sind die Zähne gesund und frei von Karies, ist Zähne bleichen meist unbedenklich. Bei einer eingeschränkten Mundgesundheit oder empfindlichen Zähnen ist Vorsicht geboten. Vor dem Zähnebleichen sollte man einen Zahnarzt zu Rate ziehen, um Schäden an Zähnen und Zahnfleisch zu verhindern.
Wer auf Zahnbleaching verzichten sollte:
- Schwangere & stillende Frauen
- Kinder
- Menschen mit krankem Zahnfleisch, Zahnfleischentzündungen, freiliegenden Zahnhälsen
Generell sollten schwangere und stillende Frauen kein Zahnbleaching durchführen. Ebenso ist die Prozedur nicht für Kinder geeignet oder Menschen mit einer eingeschränkten Gesundheit, besonders im Mundbereich. Sind die Zähne nicht gesund und wird trotzdem ein Bleaching durchgeführt, können die teils aggressiven Inhaltsstoffe tief in den Zahn eindringen, diesen von innen beschädigen und zu schmerzhafter Überempfindlichkeit führen.
Es ist daher ratsam, vor jeder Zahnaufhellung eine gründliche Zahnuntersuchung durchzuführen. Damit Beläge, Rückstände und Verschmutzungen vor der Zahnaufhellung entfernt werden können, empfiehlt sich zudem, eine professionelle Zahnreinigung vor dem Zahnbleaching durchzuführen.
Kann man Füllungen, Kronen, Brücken oder Veneers bleichen?
Bleaching-Produkte wirken nur auf die natürlichen Zähne. Die Farbe von Füllungen, Kronen, Brücken oder Veneers kann durch ein Zahnbleaching nicht verändert werden. Das gewünschte Ergebnis wird eventuell nicht erreicht, wenn diese im sichtbaren Bereich des Zahnbogens liegen.
Hat Zähnebleichen Nachteile?
Es kann sein, dass die Zähne nach dem Bleichen empfindlicher sind. In der Regel verschwindet diese Überempfindlichkeit nach kurzer Zeit wieder. Es ist wichtig, schonende und professionelle Produkte zu verwenden, da sonst Risiken auftreten können.
Bleaching bei bestsmile
Bei bestsmile erhalten alle, die sich für Aligner beider Kiefer entscheiden, ein Home-Bleaching kostenlos dazu. Eine separate Zahnschiene ist dafür nicht notwendig, da wir für unsere Zahnkorrekturen bereits massgefertigte Aligner benutzen. Um deine Zähne erfolgreich aufzuhellen, brauchst du also nur deine herkömmlichen Aligner und das mitgelieferte Bleaching Gel, welches für 2 bis 3 Anwendungen reicht.
Bereits während der Behandlung kannst du deine Zähne bleichen. Sind Attachments an deinen Zähnen angebracht, wird das Zahnbleaching erst ganz am Schluss durchgeführt, damit es auch gleichmässig ausfällt. 2 bis 3 Tage nach der Bleachingbehandlung solltest du auf Lebensmittel mit starker Pigmentierung verzichten. Dazu gehören zum Beispiel Kaffee, Rotwein, Curry oder auch säurehaltige Früchte.
:quality(75))
Und so funktioniert Zähne bleichen bei bestsmile
- Bleaching-Gel gleichmässig und dünn in deine Aligner auftragen. Fülle circa ⅓ der Zahnform ein.
- Aligner wie gewohnt einsetzen
- Bleaching-Gel, das aus der Schiene tritt, mit einem sauberen Wattestäbchen abnehmen
- Am besten über Nacht, alternativ einige Stunden am Stück, einwirken lassen
- Nach der Verwendung Mund und Aligner gründlich mit einer Zahnbürste und ein bisschen Zahnpasta reinigen
Wie lange hält es?
Bei den meisten hält es zwischen 3 Monaten bis zu einem Jahr. Wie lange die neue Zahnfarbe erhalten bleibt, kann sehr unterschiedlich sein. Je nach Lebensgewohnheiten und Zahnpflege muss ein Home-Bleaching öfters wiederholt werden.
Tipps für weisse Zähne
Um die Zähne schön weiss zu erhalten, gibt es einige Gewohnheiten und Tipps, die man beachten kann:
- Gute Mundhygiene
- Gesunde Ernährung
- Verzicht auf Tabak
- Geringer Konsum gewisser Lebensmittel, wie Curry, Rotwein, Kaffee
Wieso verfärben sich die Zähne überhaupt?
Es gibt verschiedene Gründe, wieso Zähne Verfärbungen aufweisen. Einerseits kann es die natürliche Zahnfarbe sein, die gelblich scheint und nichts mit einer guten Mundhygiene zu tun hat, andererseits können äusserliche Einflüsse die Farbe der Zähne beeinflussen. Der Farbton und die Pigmente im Zahn sind häufig genetisch bedingt. Generell kann man zwischen zwei Formen der Zahnverfärbung unterscheiden.
1. Innere Zahnverfärbungen
Diese entstehen durch das Eindringen von färbenden Stoffen, zum Beispiel von:
- Medikamenten wie Antibiotika
- Mundspülungen, die bei Zahnfleischentzündungen oder anderen gesundheitlichen Problemen im Mundbereich helfen
- Unfälle und Verletzungen, die zu Einblutungen oder Absterben des Zahnmarks führen
- Im höheren Alter nutzt sich der weiss-bläuliche Zahnschmelz ab, was dazu führt, dass das darunter liegende Zahnbein, das gelbliche Dentin, durch den Zahnschmelz hindurch schimmert.
2. Äussere Verfärbungen
Diese entstehen, wenn Zahnbeläge durch Nahrungs- und Genussmittel verfärbt werden. Dies geschieht zum Beispiel beim Verzehr von Fruchtsäften, Kaffee, Schwarztee, Rotwein oder durch Einwirkung von Tabakrauch.
Wird dieser Zahnbelag nicht regelmässig durch eine gründliche Zahn- und Mundhygiene entfernt, kann Zahnstein entstehen, welcher ebenfalls Zahnverfärbungen oder auch Mundgeruch fördern kann. Da die Verfärbungen hier hauptsächlich auf der Zahnoberfläche liegen, können sie leicht durch eine professionelle Zahnreinigung entfernt werden.
Was ist der Unterschied zwischen Verfärbungen und Belägen?
Beläge sind oberflächlich, Verfärbungen sind im Zahninneren. Bei Verfärbungen sind die Farbpigmente im Zahnschmelz und Dentin eingelagert. Eine oberflächliche Zahnreinigung kann diese Farbstoffe nicht entfernen. Mit einem Bleaching, das im Zahninneren wirkt, können farbgebende Pigmente neutralisiert werden.
:quality(75))
Wie können Verfärbungen vorgebeugt werden?
Auch wenn sich keine Bleaching-Behandlung für deine Zähne eignet, gibt es einige Methoden, Verfärbungen auf den Zähnen vorzubeugen. Eine gründliche Zahnpflege gehört für gesunde Zähne unbedingt dazu und entfernt zudem oberflächliche Verfärbungen langfristig.
Lebensmittel & Co.
Besonders nach dem Konsum von säurehaltigen Lebensmitteln sollten die Zähne nicht unmittelbar danach gereinigt werden. Die Säure in Säften, Rotwein, Früchten und Co. löst Mineralien aus der Zahnoberfläche, was die Zähne angreifbar macht. Es dauert circa 30 Minuten, bis unser Speichel diese Säuren neutralisiert und sich der pH-Wert im Mund wieder verändert. Um die Zahnoberfläche nicht unnötig anzugreifen und Verfärbungen zu fördern, solltest du nach dem Essen und Trinken mit dem Zähneputzen also immer rund eine halbe Stunde warten.
:quality(75))
:quality(75))
:quality(75))
:quality(75))
:quality(75))
:quality(75))
:quality(75))
:quality(75))
:quality(75))
:quality(75))
:quality(75))