Hollywood Smile mit Veneers – Lächeln wie die Stars
Auf dem roten Teppich haben sie es alle. Das perfekte, weisse Lächeln. Hauchdünne Zahnverblendungen, sogenannte Veneers, machen das möglich. Und auch du kannst es den Stars gleichmachen.
:quality(75))
Was ist ein Hollywood Smile?
Cristiano Ronaldo, Tom Cruise und Miley Cyrus haben es: ein harmonisches Zahnbild aus zwei symmetrischen Reihen an geraden, weissen Zähnen. Eine einheitliche Form und das strahlende Weiss sind genau das, was den berühmten Look der Stars ausmacht und als Hollywood Smile bekannt ist.
Bereits im Hollywood der 1930er Jahre wurden am Drehtag dünne Kunststoffschalen auf die Zähne der Stars geklebt. Das Ziel? Ein perfektes, strahlendes Lächeln für die Kamera.
Hollywood Smile Definition
Die Definition von einem Hollywood Smile variiert. Einige verstehen darunter lediglich ein strahlendes Weiss, andere ein perfektes Lächeln mit Veneers. Heute ist Hollywood Smile auch vermehrt für eine ganz spezifische Zahnform bekannt – alle Zähne gleich lang. Besonderes Augenmerk liegt dabei auf den Eckzähnen, die von Natur aus oft spitzig sind. Bei einer Veneers Behandlung mit dem Ziel eines Hollywood Smiles wird diese Form häufig abgerundet, um sie den angrenzenden Zähnen anzupassen.
Hollywood Smile: früher vs. heute
Das typische Hollywood Lächeln kann man also mit Veneers erreichen. Im Jahr 1928 wurden diese vom kalifornischen Zahnarzt Charles Pincus erfunden, um die Zähne von Schauspielerinnen und Schauspieler für den Filmdreh zu verschönern. Die Wurzeln der Veneers liegen also, kaum verwunderlich, in Hollywood. Marilyn Monroe oder James Dean sollen unter den ersten gewesen sein, die sich die Verblendschalen nicht nur vorübergehend für einen Dreh einsetzen liessen, sondern sich für permanente Veneers entschieden. Richtig gelesen, auch oder schon Marilyn Monroe und James Dean hatten Veneers.
:quality(75))
Was vor fast einem Jahrhundert noch aus Kunststoff bestand und lediglich für einen Drehtag hielt, ist heute zum Standard für die Stars geworden. Seit den 1950er Jahren wurde es möglich, Veneers dauerhaft anzubringen. Gefertigt aus hochwertiger Keramik sind Veneers heute kaum von natürlichen Zähnen zu unterscheiden und bieten eine langfristige Lösung zur Zahnverschönerung und -korrektur.
Wie kommt man zu einem Hollywood Lächeln?
Ein Lächeln wie aus Hollywood ist vor allem eines: strahlend weiss. Eine gute Mundhygiene, regelmässiges Zähneputzen und Zahnarztbesuche gehören auf jeden Fall dazu. Nicht alle sind aber mit natürlich weissen oder geraden Zähnen gesegnet. Heutzutage ist ein Hollywood Smile aber nicht mehr nur den Stars vorbehalten. Es gibt verschiedene Möglichkeiten, ein solches Lächeln zu erhalten.
Veneers für Zähne wie die Stars
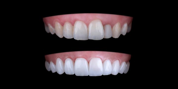
Natürlich darf das Original für ein Hollywood Lächeln nicht fehlen: Veneers. Die hauchdünnen Keramikschalen werden auf deinen Zähnen angebracht und schaffen sofort ein harmonisches Zahnbild oder eben, das berühmte Hollywood Smile.
:quality(75))
Welche Stars haben Veneers?
Auch im heutigen Hollywood sind Veneers eine beliebte Behandlung. Auf dem Big Screen, auf dem Fussballfeld oder auf der Bühne – das berühmte Hollywood Smile ist fast überall zu sehen und der Trend scheint nicht abzuflachen. Diese Stars sind unter anderem für ihr Hollywood Smile bekannt:
- Morgan Freeman
- Nicolas Cage
- Demi Moore
- Cristiano Ronaldo
- David Beckham
- Miley Cyrus
- 50 Cent
- Cardi B.
Wann sind Veneers geeignet?
Veneers können eine Vielzahl kosmetischer Zahnprobleme korrigieren:
Wenn Veneers nicht möglich sind, zum Beispiel bei fehlenden Zähnen aufgrund von Karies oder Entzündungen, kann auch eine Zahnbrücke eine gute Alternative sein. Zahnbrücken sind festsitzende Zahnersätze und im Gebiss fest verankert. Sie stellen die Ästhetik und Funktion des Zahnapparates wieder her und bieten ein harmonisches Zahnbild. Für mehr Infos dazu, lese unseren Artikel über Zahnbrücken.
Hollywood Smile mit Bleaching
Aufhellende Zahnpasta, Mundwasser mit Whitening Effect oder Bleaching Gel – einfache Möglichkeiten die Zähne aufzuhellen, gibt es inzwischen viele. Von der Anwendung zu Hause mit einem Home Bleaching Kit bis zum professionellen Bleaching beim Zahnarzt können die Zähne in kurzer Zeit und sichtbar um ein Paar Farbstufen heller gemacht werden.
Verfärbungen durch den Konsum von Kaffee, Tee, Rotwein oder anderen färbenden Lebensmittel können mit einem Bleaching aufgehellt werden. Entscheidest du dich bei bestsmile für eine Zahnkorrektur mit Aligner beider Kiefer, erhältst du ein Home Bleaching Kit gratis dazu.
Und so wendest du das bestsmile Bleaching an:
- Verteile das Bleaching Gel gleichmässig in deine Aligner – von Backenzahn zu Backenzahn. Falls du Attachments hast, werden diese am Ende der Behandlung wieder entfernt, so dass du deine Zähne dann bleachen kannst. Hast du keine Attachments, kannst du das Bleaching beliebig während deiner Behandlung machen.
- Setze die Aligner wie gewohnt ein und trage sie 8–10 Stunden, damit das Bleaching Gel gut einwirken kann. Falls beim Einsetzen Überschüsse aus dem Aligner treten, entferne diese einfach mit einem Wattestäbchen.
- Eine Spritze des Bleaching Gels reicht für 2–3 Anwendungen. So kannst du die Zahnaufhellung mehrmals wiederholen.
:quality(75))
Was kosten Hollywood Zähne?
Die Kosten für dein Hollywood Smile können nach Anbieter und Anzahl der benötigten Veneers variieren. Bei bestsmile kennst du die Kosten von Beginn an und du kannst deine Veneers auch bequem in monatlichen Raten ab CHF 80.– bezahlen.
Finanzierungsmöglichkeiten
Sofort loslegen
Direkte Vollzahlung
Um sofort mit deiner Behandlung zu starten, kannst du den Gesamtbetrag direkt bei uns in der Praxis oder per Rechnung innerhalb von 14 Tagen bezahlen. Wir starten gleich nach Zahlungseingang.
Hollywood Smile in der Schweiz
Auch bei uns in der Schweiz gewinnt der Trend aus Hollywood vermehrt an Beliebtheit. Innerhalb der letzten 2 Jahre ist die Nachfrage für Veneers in der Schweiz um das doppelte gestiegen. Die erhöhte Nachfrage macht auch Reisen für Zahnkorrekturen ins Ausland zugänglicher denn je. Doch das kommt nicht ohne Risiken. Ausland Veneers werden oft aus billigen Materialien und schlechter Qualität gefertigt. bestsmile Kundin Doaa musste diese Erfahrung mit Ausland Veneers gleich zweimal machen.
Mit einem Hollywood Smile aus der Schweiz bist du auf der sicheren Seite, denn Zahnkorrekturen und Zahnbehandlungen im Ausland sind nicht selten trügerisch.
Hollywood Smile mit bestsmile Veneers
Dein filmreifes Lächeln erhältst du mit bestsmile Veneers einfach und zum fairen Preis. bestsmile Veneers werden in der eigenen Produktion in der Schweiz massgefertigt für dich hergestellt. Auf deine Veneers erhältst du 10 Jahre Garantie. Sollten sie sich einmal lösen, sind wir jederzeit für dich da und ersetzen diese kostenlos Hollywood Smile garantiert!
:quality(75))
:quality(75))
:quality(75))
:quality(75))
:quality(75))
:quality(75))
:quality(75))
:quality(75))
:quality(75))
:quality(75))
:quality(75))
:quality(75))
:quality(75))