:quality(75))
Mounia
At last she can smile and shine again – completely carefree
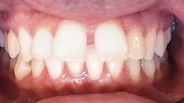
Because of the gap between her teeth, Mounia used to smile with her mouth closed. Until she discovered bestsmile. After a few weeks of her Aligner treatment, Mounia noticed the first changes. And after just 5 months, her tooth gap was completely gone. During this time, no one noticed that she was wearing clear braces. Now, she is happy to show her radiant and carefree smile. Unlike before, Mounia smiles on pictures now and does not hesitate to show her teeth. Straightening her teeth has given her a new perspective on things and made her more self-confident.
The treatment
Aligners upper jaw
9 Aligners
Aligners lower jaw
0 Aligners
Duration
5 months
:quality(75))
:quality(75))
The successful treatment of Mounia
:quality(75))
:quality(75))